身体出现不适时,一般会选择去医院做检查,不同的症状做的检查也当然不同,那么脑瘤做什么检查呢?患有脑瘤的人也不要过于悲伤,有时候也是一种良性的,通过手术就可以得到彻底恢复。一般脑瘤做的检查就是造影、头颅X线摄片等,这些检查对于找出病因十分准确。

1.影像学检查
包括头颅X线摄片、放射性核素脑造影、脑室和脑池造影、脑血管造影等。这些检查过去曾是神经系统疾病的重要诊断方法,不仅具有病变定位的意义,还有一定的定性诊断价值。但是这些检查除X线摄片外,都有损伤性,应根据需要慎重选择。

2.CT检查
CT对颅内肿瘤的确诊率可达90%以上,是脑瘤的主要诊断方法之一。颅内肿瘤与正常脑组织在组织学上具有相当大的差异,不同的组织结构具有不同的CT值,表现出不同密度,从而在CT图像上显示病灶。

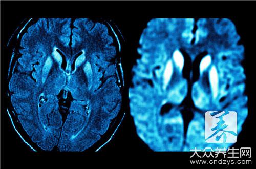
3.磁共振成像
MRI能提供清晰的解剖背景图像,特别是头部图像不受颅后窝伪迹的干扰,有鲜明的脑灰、白质反差,可作冠状、矢状及轴位层面的断层,比CT更为优越。用顺磁性物质钆(Gd)的化合物(Gd-DTPA)作静脉注射,可使组织的T-1弛豫时间明显缩短,因此可作为增强剂来增加病变与正常脑组织之间的对比度,提高MRI的分辨率。目前已普遍认为对神经系统病变的诊断应首选MRI。


