扫一扫
用手机做贸易
服务介绍 服务对比 建站服务 精美商铺
排名推广 积分商城 意见反馈 联系我们
最近搜过
相关热搜榜
扫一扫关注
2019-05-01 03:43 1005老人健康 臭氧或有助 对抗心肌缺血再灌注损伤
本报讯 哈尔滨医科大学附属第一医院心脏大血管外科主任刘宏宇教授团队完成的一项课题表明,臭氧预适应可显著提升大鼠心肌细胞的抗氧化能力,减轻心肌细胞线粒…
2019-03-15 18:08 178 腹痛 呕吐 心动过速 心肌缺血 心脏停搏 心律失常 过敏反应 高血压 超敏反应 肾上腺素 用药经验 预警资讯 最新资讯 药品安全
遇到严重过敏反应时,肾上腺素的给药途径及剂量问题一直令医护人员困惑。临床用药近期推出 10 秒问答题「过敏性休克,肾上腺素的使用途径是?」明确答复是「…
2019-03-15 14:28 536女性健康 最新资讯 经典病例 先天性心脏病 心肌缺血 乳糜胸 奥曲肽 肺动脉闭锁 室间隔缺损 先天性冠状动脉瘘 主肺动脉窗 超声心动图 心导管
肺动脉闭锁伴室间隔缺损的病例中,肺血流通常来自于未闭的动脉导管、主-肺动脉侧支动脉或两者都有,而以主-肺动脉窗或冠状动脉-肺动脉瘘作为肺血流主要来源的…
2019-03-15 13:16 432 最新资讯 经典病例 心脏肿瘤 肿瘤 心肌缺血 心脏病 心律失常 猝死 脑缺血 栓塞 疼痛 晕厥
了
2019-03-15 09:26 400女性健康 最新资讯 肾衰竭 心肌缺血 心肌梗死 卒中 肾病 介入 心血管
面对急性心肌梗死合并心源性休克患者,大多数人第一反应便是行 PCI 治疗,实现对病变血管的早期血运重建,从而改善临床预后。然而,这类患者中,大多数都患有…
2019-03-15 05:28 951 最新资讯 心肌病 心绞痛 先天性心脏病 心肌缺血 心力衰竭 心功能不全 猝死 冠状动脉异常起源于肺动脉
左冠状动脉异常起源于肺动脉是一种罕见的缺血性先天性心脏病,常于婴儿期引起心力衰竭,是儿科心功能不全的常见病因之一,因此早期正确诊断 ALCAPA 十分重要…
2019-03-15 04:41 192 最新资讯 经典病例 冠心病 心肌缺血 心绞痛
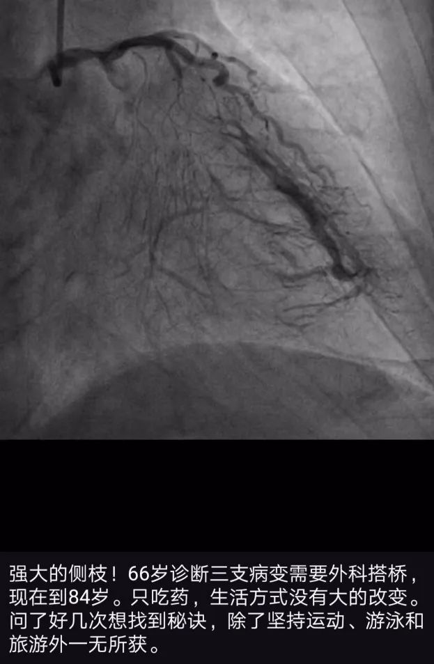
这是我朋友圈发的一个病例,患者从年轻时就坚持锻炼,尤其是游泳。三支慢性完全闭塞病变发现近 20 年,生活质量竟然没什么大影响。侧枝循环在 CTO 司空见惯,…
2019-03-14 18:50 421女性健康 最新资讯 经典病例 心电图挑战 专家视点 精彩幻灯 胺碘酮 和安 维拉帕米 利多卡因 异搏定 异丙肾上腺素 索他洛尔 奎尼丁 心理障碍 心肌病 心动过速 先天性心脏病 心肌缺血 心脏病 心力衰竭 心律
中国心脏大会2018 暨国际冠心病大会2018 暨第三届中国血管大会于 2018 年 8 月 2 日-5 日在北京国家会议中心召开。今年的大会主题是「新时代、心征程——创
2019-03-14 16:41 462 心血管时间公众号 胺碘酮 心肌缺血 心房扑动 心动过缓 心房颤动 心肌梗死 心律失常 预激综合征 心力衰竭 最新资讯 用药经验 drugs201810 专题title文章 非医学时间app 预警资讯
该篇文章根据解放军总医院心内科卢才义,吴阳勋教授在第二十九届长城会上的分享整理。胺碘酮的地位广谱强效的 AA 药物很多心律失常治疗首选恶性室性心律失常…
你可能不是行业专家,但你一定有独特的观点和视角,赶紧和业内人士分享吧!
我要投稿
投稿须知