扫一扫
用手机做贸易
服务介绍 服务对比 建站服务 精美商铺
排名推广 积分商城 意见反馈 联系我们
最近搜过
相关热搜榜
扫一扫关注
2019-04-24 05:21 187医用耗材 终末期肾病患者其卒中危险因素与众不同
为此,来自英国格拉斯哥大学的 Findlay 教授等进行了一项研究,旨在通过一项大型的 ESRD 人群分析来明确卒中的相关危险因素以及预后。该研究表明,终末期肾病…
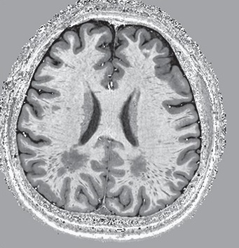
2019-03-14 06:59 114 缺血性脑损伤 慢性肾病 终末期肾病 脑白质疏松症 脑梗死 慢性痴呆 抑郁症 心血管疾病 糖尿病肾病 血液透析 HD 血压 中风 脑损伤 尿毒症 低血压 脑缺血 高血压 临床综述 最新资讯
对于缺血性脑损伤的血液透析患者,透析中血压是高好还是低好?为解答这个复杂的问题,来自加拿大西安大略大学的 McIntyre 教授和英国国王学院的 Goldsmith 教…
2019-03-14 01:36 547女性健康 最新资讯 临床综述 指南共识 慢性肾脏病 肾衰竭 预警资讯
β受体阻断剂在治疗血液透析患者的心血管疾病中的应用机遇和挑战并存。来自非透析人群的数据均支持β受体阻断剂的应用,因为其能直接减轻链接慢性肾脏病和心…
2013-02-28 07:46 54母婴育儿
为进一步提高我国腹膜透析水平,扩大腹膜透析覆盖面,使更多的终末期肾病患者得到安全、有效、可及的腹膜透析治疗,卫生部于2011
你可能不是行业专家,但你一定有独特的观点和视角,赶紧和业内人士分享吧!
我要投稿
投稿须知