扫一扫
用手机做贸易
服务介绍 服务对比 建站服务 精美商铺
排名推广 积分商城 意见反馈 联系我们
最近搜过
相关热搜榜
扫一扫关注
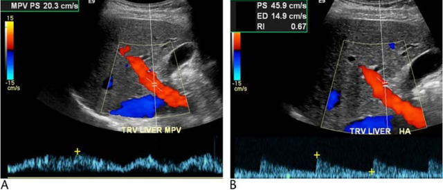
2019-03-14 05:00 108 肝移植 门静脉闭塞 肝炎 肝脏肿瘤 充血性右心衰 脾动脉盗血综合征 膈肌中脚综合症 夹层动脉瘤 假性动脉瘤 系统性红斑狼疮 抗磷脂综合症 遗传性出血性毛细血管扩张症 动静脉畸形 休克 最新资讯 临床综
超声检查对自体 肝脏门静脉及肝静脉的评估以及移植肝肝动脉检测应用较为广泛。然而鲜为人知的是,即使自体肝肝动脉流速及频谱的测定对于发现肝脏潜在性病变及…
你可能不是行业专家,但你一定有独特的观点和视角,赶紧和业内人士分享吧!
我要投稿
投稿须知