扫一扫
用手机做贸易
服务介绍 服务对比 建站服务 精美商铺
排名推广 积分商城 意见反馈 联系我们
最近搜过
相关热搜榜
扫一扫关注
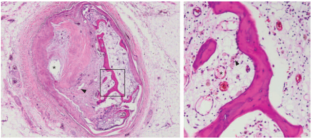
2019-04-25 09:22 644医用耗材 年轻男性为何突发急性心肌梗死?
患者男,27 岁,既往体健。2013 年 10 月因渐进性气促就诊于心血管门诊,体格检查发现心尖部可闻及 III 级收缩期杂音。经食道心脏超声检查显示二尖瓣弥漫性增…
2019-03-15 15:41 818女性健康 最新资讯 非医学时间app
对于所有急性心肌梗死患者推荐早期启用双重抗血小板治疗,包括 P2Y12 抑制剂负荷剂量 1-2。然而,部分患者可能已经服用氯吡格雷作为 MI 或卒中的二级预防…
2019-03-14 08:59 803女性健康 心肌梗死 心血管疾病 冠心病 冠状动脉粥样硬化性心脏病 急性心肌梗死 最新资讯 临床综述 阿司匹林 氯吡格雷 尿激酶 硫酸镁
英国《柳叶刀》杂志于2014年6月24曰在线向全球发表了国家心血管病中心阜外心血管病医院,在国内组织实施的“冠心病医疗结果评价转化研究”的主要结果,揭示出…
2019-03-14 08:55 854 低血压 心肌梗死 卒中 心力衰竭 格列本脲 尿激酶 地尔硫卓 四环素 依达拉奉 链激酶 最新资讯 临床综述
近期Nat Rev Cardiol发表了一篇心肌内出血的综述文章,总结了心肌内出血的发现历史、诊断策略及治疗手段,文章要点总结如下,其后为文章的详细编译。文章要点…
2019-03-14 08:39 743 最新资讯 临床综述 循环系统疾病 动脉栓塞 心律失常 栓塞 血管炎 感染性心内膜炎 动脉粥样硬化 痉挛 动静脉瘘 病毒感染 血栓形成 血管疾病 心肌梗死 感染 心肌炎 心力衰竭 血栓栓塞 心肌缺血 血
非阻塞性冠脉粥样硬化所致的急性心肌梗死是一种由各种病因引起的综合征,临床资料支持心肌梗死,但冠脉造影显示狭窄<50。在心肌梗死患者中的发病率为 5 到 2…
2019-03-14 08:02 920 临床综述 经典病例 骨化性肌炎 脑损伤 高脂血症 动脉粥样硬化 心肌梗死 最新资讯 钙化 骨化 急性心肌梗死 严重钙化 动脉钙化
近日,来自瑞士利斯塔尔医院的Gregor Leibundgut等在Circulation报告了1例冠脉严重钙化后伴骨形成的死亡病例,并详细介绍了动脉粥样硬化后钙化形成甚至骨化的…
2019-03-14 08:00 825 急性心肌梗死 Brugada综合征 高钾血症 左束支传导阻滞 急性心包炎 急性心肌炎 早期复极化 变异型心绞痛 肺栓塞 ST段抬高 最新资讯 临床综述 经典病例 心电图挑战 手把手教你玩转心电图 专题
了一例心电图 ST 段抬高
2019-03-14 06:43 815 会议 心梗 AMI 女性 PCI 疼痛 心绞痛 颅内出血 动脉粥样硬化 痉挛 卒中 心肌梗死 呼吸困难 冠心病 血脂异常 实用锦囊|心内科指南大盘点 从菜鸟到高手:冠心病诊疗必备宝典 用药经验 最新资
心血管疾病是美国女性死亡的主要原因,有数据显示自 1984 年以来,女性的心血管疾病年死亡率一直高于男性。但在过去的十年里,女性心血管疾病死亡率已不断降…
2019-03-14 05:13 78 STEMI PCI 急性心肌梗死 心衰 最新资讯 临床综述 血栓栓塞 中风 血栓形成 卒中 心肌梗死
ST 段抬高型心肌梗死在 PCI 术后常常会存在远端微血管再灌注不全的情况,造成不良临床后果。而血栓抽吸装置可以减少血栓栓塞,快速减少局部血栓负荷、减…
你可能不是行业专家,但你一定有独特的观点和视角,赶紧和业内人士分享吧!
我要投稿
投稿须知